Mariners Garage – Located just south of the stadium at the intersection of Edgar Martinez Drive and First Avenue, this garage has over 2,000 parking spaces.
So, if it is stated that a central neck dissection is performed with a total thyroidectomy, you would report 60252 (Thyroidectomy, total or subtotal for
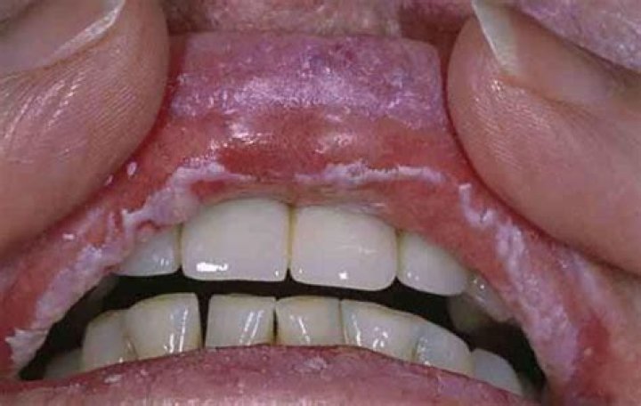
Oral thrush — also called oral candidiasis (kan-dih-DIE-uh-sis) — is a condition in which the fungus Candida albicans accumulates on the lining of your mo...
If growing outdoors, plant in well-draining soil and full sun. In dry climates, the plants will appreciate some mid-day shade. Crown of thorns is a very
No matter what a retailer may tell you, plantation shutters are not a 100% blockout product. While they block a large amount of outside light and offer
The most effective way to kill dallisgrass in centipedegrass is to spot spray with glyphosate (Killzall, Roundup and other brands). This will, unfortunately,
Does it need to be on a dedicated circuit? Most electric fireplaces can be plugged into a standard 120 Volt outlet, and no dedicated circuit is required.